 Reifer Faserling, Gefurchter Faserling, Rotscheibiger
Faserling                     UNGENIESSBAR!
  Reifer Faserling, Gefurchter Faserling, Rotscheibiger
Faserling                     UNGENIESSBAR!  
PSATHYRELLA SENEX
|   |   |   |   |   |   |   |   |   | 
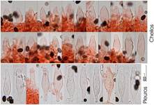
Bilder oben 1-3 und unten 1-4 von links:
Dieter Wächter (Thiersheim) ©
| 
 |  |  |  |  | 
| Eigenschaften, Erkennungsmerkmale, Besonderheiten, (Gattungen): | |
| Geruch: | Unbedeutend, leicht pilzig. | 
| Geschmack: | Mild. | 
| Hut: | 2-6 (7) cm Ø, dunkelbraun, rötlichbraun, hellbraun bis graubraun
  ausblassend, dicht gerunzelt, feucht gestreift, mit Buckel, erst konvex bis
  flachkeglig, später weit ausgebreitet mit etwas verbogenem Rand. Velum nur an
  jungen Hüten erkennbar. | 
| Fleisch: | Ockerbraun. | 
| Stiel: | 2-15 (17) cm, 2-6 mm Ø, weißlich bis gelbbraun, leicht bereift, lang
  gezogen, seidig glänzend, Basis etwas verdickt, alt hohl. | 
| Lamellen: | Erst grau, graubraun, später braun mit feiner weißer Schneide,
  ausgebuchtet angewachsen, etwas entfernt stehend, Spitze bereift. | 
| Sporenpulverfarbe: | Schwarz mit Rotton (6,5-12,5 x 3,7-7 µm, Cheilozystiden 16,5-70 x
  5,5-18 µm, Pleurozystiden 30-70 x 8-20 µm). | 
| Vorkommen: | Mischwald, gern Laubwäldern, auf Totholz, Humus oder Laubstreu,
  Folgezersetzer, Frühjahr bis Spätherbst, selten | 
| Gattung: | Faserlinge, Mürblinge, Zärtlinge. | 
| Verwechslungsgefahr: | Schmalblättriger
  Faserling, Düngerlings-Faserling, Gebuckelter Faserling,
  Weißgrauer
  Faserling | 
| Kommentar: | Nur per Mikroskop sicher bestimmbar. | 
| Wiki-Link: | |
| Priorität: | 3 | 
   Weitere Bestimmungshilfen und Informationen
hier:
|  |  |  |  |  |  | 
   Letzte Aktualisierung dieser Seite: Montag, 24. März 2025 - 12:39:18 Uhr