awillbu1  Anhängselröhrling, Laubwald Anhängselröhrling, Gelber Steinpilz, Gelber Bronzeröhrling, Gelber Steini, Echter Anhängselröhrling      ESSBAR! 

BUTYRIBOLETUS APPENDICULATUS (SYN. BOLETUS APPENDICULATUS, TUBIPORUS APPENDICULATUS, DICTYOPUS APPENDICULATUS, BOLETUS RADICANS VAR. APPENDICULATUS, BOLETUS APPENDICULATUS SUBSP. EUAPPENDICULATUS)

 

 

 

 

 

 

 

 

 

 

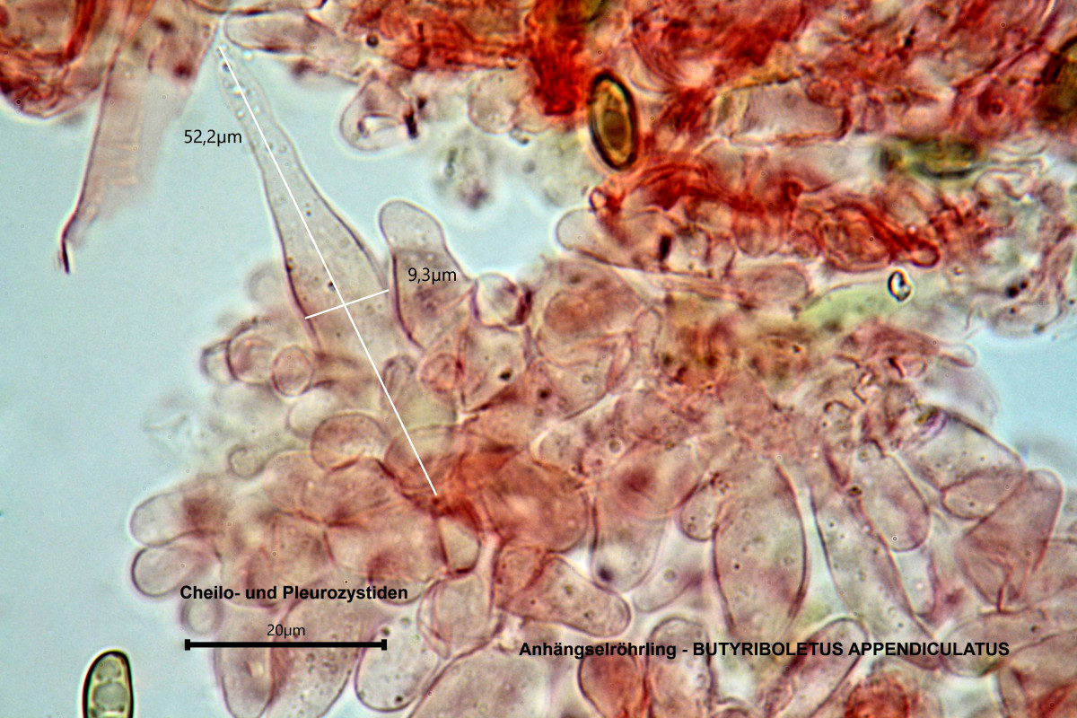
Fotos oben 1+4 von links: Ron Pastorino (Ronpast) (mushroomobserver.org)     Bilder oben 2+3 und unten 2-4 von links: Rudolf Wezulek ©       Fotos unten 5-7 von links: Gerhard Koller ©

 

Foto oben 1 von links: Robert Kozak (mushroomobserver.org)

Eigenschaften, Erkennungsmerkmale, Besonderheiten, (Gattungen):

Geruch:

Angenehm säuerlich-pilzig, +/- nussig, mandelartig, etwas nach rohem Fleisch.

Geschmack:

Mild.

Hut:

4-15 (18) cm Ø, ockerbraun, kastanienbraun, rotbraun, filzig bis lederartig, trocken, uneben. Die Schneckenfraßstellen sind gelblich bis orangerosa gefärbt. Der Rand ist scharf, Huthaut meist etwas überstehend.

Fleisch:

Gelblich, zitronengelb, später ausblassend gelblich bis cremegelb und nur noch im Stielrandbereich zitronengelb verbleibend, fest, hart, blauend (meist jedoch nur leicht blauend), Fraßstellen gelblich bis orangerosa gefärbt

Stiel:

Gelblich, zur Stielbasis hell bräunend auf gelblichem Grund, Spitze gelb, feinmaschiges gelbliches bis bräunliches Netz, Basis verdickt und in den Boden eingesenkt, mit wurzelndem Appendix (Anhängsel).

Röhren:

Gelblich, am Stiel ausgebuchtet angewachsen.

Sporenpulverfarbe:

Olivbraun (10-16 x 4-6 µm, elliptisch).

Vorkommen:

Laubwälder, Buche, Eiche, Haselnuss, nur sporadisch im Nadelwald bei Fichten, kalkreichen Boden, Symbiosepilz. Frühsommer bis Herbst, RL3 Deutschland (gefährdet). Laut Bundesartenschutzgesetz Deutschland vollständig geschützt.

Gattung:

Röhrlinge, Dickröhrlinge.

Verwechslungsgefahr:

Blauender Königsröhrling, Königsröhrling, Falscher Anhängselröhrling, Wurzelnder Bitterröhrling, Steinpilz, Marmorierte Röhrling, Silberröhrling, Schönfußröhrling.

Chemische Reaktionen:

Mit Kalilauge (KOH) im Fruchtfleisch orangerötlich bis intensiv rot.

Besonderheit:

Zusammengefasst: Anhängselröhrling (BOLETUS APPENDICULATUS = Buchenwald kalkreichen Boden), Falscher Anhängselröhrling (BOLETUS SUBAPPENDICULATUS) = sauren Nadelwald mit mehr weißlichem Fleisch und gelber Rinde.

Tipp:

Bei Pilzen ohne Netz am Stiel oder kaum sichtbarem Netz am Stiel und mit gelblichen Röhren ist eine Geschmacksprobe die sicherste Entscheidung, ob es nicht doch ein ungenießbarer bitterer Gallenröhrling oder ein Wurzelnder Bitterröhrling ist.

Kommentar:

Er wird gerne mit einem Steinpilz verwechselt. Der Pilz hat seinen Namen durch einen Stielfortsatz (Anhängsel), der sich in den Boden eingesenkt an der Stielbasis befindet.

Gifthinweise:

Relativer Speisewert:

Schweiz: Marktfähig; DGfM: Positivliste Speisepilz; 123pilze: Relative Wertigkeit 1.

Wiki-Link:

https://de.wikipedia.org/wiki/Anhängsel-Röhrling 

Priorität:

1

 

 

 

Bild oben 1 von links: Claus Meyer (Eschborn) ©    Fotos oben 5-7 und unten 2+3+5+6 von links: Gerhard Koller ©

 

 

Bild oben 7 von links: Rudolf Wezulek ©

 

Fotos oben 1-3 von links: Sime CROATIA (mushroomobserver.org)   Bild oben 1 von links: Gruber Fred (Gottfrieding) ©  Bilder oben 5-9 von links: Georg Probst (Ergolding) ©

 

 

 

 

 

Bilder oben 1-6 und unten 1-5 von links: Georg Probst (Ergolding) ©

 

 

 

   Weitere Bestimmungshilfen und Informationen hier:

 

 

 

 

 

 

 

 

   Letzte Aktualisierung dieser Seite: Dienstag, 25. November 2025 - 18:24:17 Uhr